Почти ежедневно я получаю такой вопрос: «Скажите есть у меня все таки эндометриоз или нет? Его то видят, то не видят…»
Прежде всего хочу напомнить про жалобы при эндометриозе:
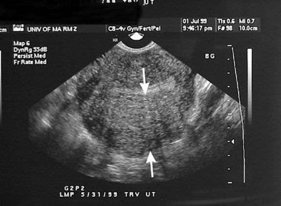
«Большими» признаками эндометриоза при УЗ- диагностике являются:
Прежде всего хочу напомнить про жалобы при эндометриозе:
- болезненные и обильные менструации;
- хроническая тазовая боль
- боль при половом акте
«Большими» признаками эндометриоза при УЗ- диагностике являются:
- шарообразная форма матки (в норме быть грушевидная);
- матка увеличена в размерах.
- разная толщина передней и задней стенок матки (должна быть примерно одинаковая);
- неоднородный мышечный слой («звездное» небо или по типу «булыжной» мостовой).
фото взято из открытого источника сети "Интернет".
По клиническим рекомендациям «золотым стандартом» постановки диагноза, в конечном счете, является диагностическая лапароскопия. К счастью, она показана далеко не всем.
Спайки после оперативного вмешательства никто не отменял.
Очень часто сталкиваюсь с тем, что пациентам «штампуют» это диагноз.
Врачи часто видят неоднородный мышечный слой матки и тут же воображение им дорисовывает остальную картину.
Имея опыт врача -гинеколога и УЗ-диагноста я могу сказать, что не всегда неоднородность миометрия (мышц матки) = эндометриоз.
Очень важно:
Как видите все не так просто, как кажется. А есть еще такой диагноз как альгодисменорея. И это отдельный диагноз. Когда менструации носят болезненный характер и это тоже не равно эндометриозу.
Если в УЗ-протоколах нет совпадения хотя бы двух критериев эндометриоза и жалоб на менструации нет, а врач видит неоднородный мышечный слой значит стоит задуматься о дифференциальном диагнозе (альгодименорее или исключении хронического эндометрита).
Спайки после оперативного вмешательства никто не отменял.
Очень часто сталкиваюсь с тем, что пациентам «штампуют» это диагноз.
Врачи часто видят неоднородный мышечный слой матки и тут же воображение им дорисовывает остальную картину.
Имея опыт врача -гинеколога и УЗ-диагноста я могу сказать, что не всегда неоднородность миометрия (мышц матки) = эндометриоз.
Очень важно:
- насколько правильно собраны жалобы и анамнез.
- на какой аппаратуре работает врач УЗ-диагностики. Причем аппарат не всегда крутой аппарат = качество исследования. Слишком навороченный аппарат тоже может давать много лишней информации.
- насколько качественно врач УЗ-диагностики опишет то, что он увидел.
- насколько вдумчиво и качественно врач осмотрел пациентку на кресле.
Как видите все не так просто, как кажется. А есть еще такой диагноз как альгодисменорея. И это отдельный диагноз. Когда менструации носят болезненный характер и это тоже не равно эндометриозу.
Если в УЗ-протоколах нет совпадения хотя бы двух критериев эндометриоза и жалоб на менструации нет, а врач видит неоднородный мышечный слой значит стоит задуматься о дифференциальном диагнозе (альгодименорее или исключении хронического эндометрита).